Características
Diseño concebido para la máxima comodidad
- Pantalla sin marco de 23,8″ con imágenes grandes para una experiencia inmersiva
- Monitor con ajuste de brillo adaptativo para proteger la vista
- Pantalla táctil Full HD de 15,6″ con interacción intuitiva
- Interruptor de acceso directo a las últimas sondas y exámenes realizados
- Conectores elevados para cambiar las sondas sin tener que inclinarse
- Diseño súper silencioso de 26dB, como un dormitorio sin ruidos
Infinitas soluciones de imágenes con tecnología de ZST+
La plataforma ZST+ es una innovación extraordinaria, toda una evolución en la ecografía. Transforma las métricas ecográficas de la formación de haces convencional al procesamiento basado en datos de canal. Supera la limitación tradicional de compensación entre resolución espacial, resolución temporal y uniformidad del tejido, ofreciendo una calidad de imagen excepcional para infinitas soluciones de imágenes en mejora continua.
Resona I9 proporciona soluciones clínicas integrales para aplicaciones dedicadas. Basado en información detallada sobre diferentes escenarios clínicos, ofrece innovaciones que brindan a los usuarios una claridad extrema, una inteligencia sobresaliente y una mayor confianza en el diagnóstico.

Para una atención óptima e inmediata
Basta plegarlo y partir, fácil transporte en vehículo multiprósito. Altura mínima de 1 metro

Flexibilidad de exploración ilimitada más allá de la imaginación
iConsole — Panel de control inteligente. Diseño del panel de control inteligente y específico para exámenes clínicos con teclas especiales de tinta electrónica. Diseño innovador y adaptable para diferentes situaciones clínicas.
iControl – Panel de control inteligente.

Innovadoras teclas de tinta electrónica con ajuste adaptativo.

Completo Panel de control flotante
Se puede ajustar para utilizar mejor el espacio. Satisface fácilmente las distintas necesidades de exploración.
Exploración de pie

Exploración agachado

Exploración estirado

Exploración cruzada sobre la camilla

Diagnóstico avanzado con innovaciones
Evaluación innovadora de la rigidez: HiFR STE

Velocidad de cuadros hasta 10 veces más rápida con una pantalla STE de desplazamiento suave.
Detección de movimiento más sensible para una mejor estabilidad y mayor precisión.
Diagnóstico de lesiones focales con perfusión: UWN+ Imagen por contraste

Utilización de señales fundamentales de 2da armónica y no lineales
Mayor sensibilidad a señales más débiles y mayor duración del agente con menor IM
Nuevo enfoque de la Hemodinámica vascular: V Flow

Las flechas vectoriales codificadas por colores indican la magnitud de la velocidad y la dirección de las células sanguíneas. Con una frecuencia de cuadros ultra alta, V Flow proporciona una visualización extremadamente vívida, precisa e independiente del ángulo de perfiles hemodinámicos vasculares complejos con información de datos completa.
Mayor confianza en el diagnóstico con herramientas automáticas
Diagnóstico inteligente y preciso de lesiones mamarias: Smart Breast


Smart Breast aumenta la precisión y la productividad de la exploración mamaria de rutina. El análisis inteligente BI-RADS permite la detección, medición, anotación, análisis e informes de lesiones de modo completamente automático. El protocolo de exploración de lesiones mejora de forma eficaz el control de calidad. Además, el manejo sistemático de múltiples lesiones y la evaluación de múltiples planos proporcionan más información de diagnóstico y mayor precisión.
Evaluación inteligente y estandarizada del nódulo tiorideo: Smart Thyroid


El análisis TI-RADS basado en múltiples planos permite una clasificación de nódulos tiroideos más completa y precisa. El flujo de trabajo automatizado optimizado proporciona además una exploración más efectiva.
Evaluación fácil y rápida de la esteatosis hepática: Smart HRI


Smart HRI es una herramienta de evaluación cuantitativa de la esteatosis hepática fácil y rápida. Basado en una imagen 2D, permite el reconocimiento automático de órganos y el cálculo automático de la relación de brillo del hígado y la corteza renal. Smart HRI ofrece datos más fiables y precisos que la estimación cualitativa tradicional.
Análisis y mediciones precisas
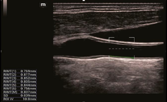
Evaluación de IMT con mayor precisión: RIMT

El IMT basado en datos de radiofrecuencia es independiente de la imagen y ofrece estadísticas de IMT automáticas y extremadamente precisas de 6 ciclos cardíacos en tiempo real.
Análisis preciso de la dureza de la pared vascular: R-VQS

R-VQS proporciona un análisis preciso con el coeficiente de dureza de los vasos y la velocidad de la onda de pulso. Ayuda al diagnóstico temprano y la prevención de la aterosclerosis arterial.
Evaluación del movimiento miocárdico
independiente del ángulo: TT-QA

TT-QA rastrea el movimiento del miocardio mediante la detección de patrones 2D y proporciona una evaluación precisa e independiente del ángulo del movimiento del miocardio.
Mediciones sencillas
de la función cardíaca: Auto EF

Auto EF es una forma inteligente de analizar clips de eco 2D para reconocer los marcos diastólico y sistólico, generando una serie de mediciones para evaluar la función del ventrículo izquierdo.










